近日,中国医科大学附属第一医院由心血管内科、心脏外科、心血管超声科、麻醉科、血管外科/甲状腺外科、手术室等相关科室组成的心脏瓣膜介入团队在孙英贤教授的指导下,郭亮、李楠、张海山、高远、梁长彬、唐冰、王团等医生应用经导管三尖瓣环成形系统,为一位三尖瓣极重度反流患者成功完成经导管三尖瓣修复手术。手术效果良好,患者症状明显缓解,顺利康复出院。此例手术是东北地区首例经导管三尖瓣修复手术,标志着中国医科大学附属第一医院瓣膜介入团队在三尖瓣重度反流介入治疗领域的又一重大突破。

患者为74岁男性,因活动后气短伴浮肿3年,加重1个月入院。心脏超声显示三尖瓣关闭不全伴极重度反流,双房及右室扩大,肺动脉压力升高。心脏结构CTA示三尖瓣环明显扩张,右冠状动脉部分走行于心房面,右冠状动脉中远段距离瓣环最近距离2.4mm。

CTA测量三尖瓣口数据

CTA评估三尖瓣环与冠状动脉空间位置
术前超声心动图示三尖瓣极重度反流
术前超声心动图示三尖瓣瓣环极度扩张致三尖瓣瓣叶对合不良
针对患者病情特点,团队经充分讨论后认为,患者三尖瓣极重度反流诊断明确,规范药物治疗病情无缓解,结合患者高龄、合并症多的情况,外科开胸手术风险极高,经导管三尖瓣修复术是该患者的最佳治疗方案,但因三尖瓣环与右冠状动脉距离近,具有较高的手术难度。
经过充分的术前准备,手术在浑南院区介入手术室如期进行。首先,团队在超声引导下穿刺右侧颈内静脉成功,送18F大鞘入右房,应用三尖瓣环修复系统,调整夹合器至三尖瓣后叶-隔叶交界区瓣环处,旋入定位器,同时行右冠脉造影,根据结果调整夹子位置,确保右冠脉血流不受明显影响,释放夹合器,超声示瓣环面积缩小,反流减轻。再将另一枚夹合器送至三尖瓣后叶-前叶交界区瓣环处,旋入定位器,右冠脉造影确认血流情况,调整夹合器位置保证右冠脉血流不受影响,完全释放夹合器,超声及DSA提示夹合器位置稳定,瓣环面积由术前即刻14.2cm2减至7.95cm2,缩小率约43%),瓣叶开放良好,前向血流频谱及速度正常,反流程度由极重度减至中度,肝静脉收缩期逆向血流消失(反流影响消失),手术成功。缝合颈内静脉,压迫止血,患者苏醒后安返病房。
术后三尖瓣反流量明显减少,由极重度改善至中度
瓣环面积明显减少,瓣叶对合改善

上左图示术前三尖瓣环面积14.2cm²,右图示术后三尖瓣环面积7.95cm²

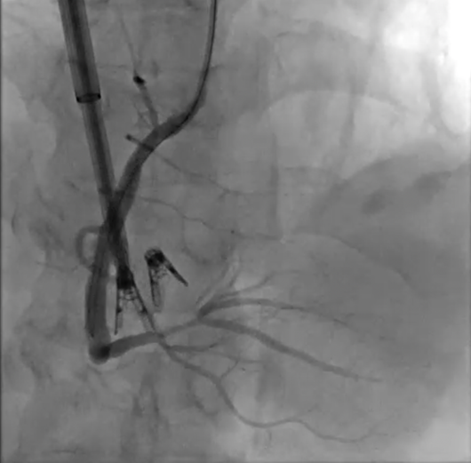
右冠造影提示夹合器位置固定,右冠状动脉血流通畅
三尖瓣反流曾被称为“被遗忘的瓣膜”,因其解剖复杂、治疗手段有限,外科开胸手术死亡率高,长期以来患者面临无药可医,无法可治的困境。随着中国医科大学附属第一医院经导管三尖瓣环成形手术的顺利开展,三尖瓣反流的治疗方式也将发生根本性的变化。团队将进一步通过简单、安全的方式和生理性修复的理念,围绕三尖瓣反流患者全生命周期的管理,不断探索更精准高效的治疗模式,为患者解除病痛。
中国医科大学附属第一医院瓣膜介入团队自成立以来,锐意进取,不断突破,紧跟国际前沿,使大量高龄、高危心脏瓣膜疾病患者转危为安,生活质量得到极大改善。未来,团队将继续坚持以病人为中心,深入开展瓣膜病相关研究,不断推进诊疗技术创新和临床应用,为广大瓣膜病患者带来更好的治疗体验和更优的治疗结果,为心脏瓣膜病防治事业贡献更大力量。
来源:中国医科大学附属第一医院
*本网站有关内容转载自合法授权网站,如果您认为转载内容侵犯了您的权益,
                       请您来信来电(024-23187042)声明,本网站将在收到信息核实后24小时内删除相关内容。