近期,中国医科大学附属第一医院泌尿外科牵头的MDT团队以高效合作和精湛技术,成功化解诸多临床难题,为一名复杂泌尿系统肿瘤患者解除疾病困扰。患者为64岁男性,一个月前刚刚因腹主动脉瘤接受了覆膜支架植入术,本次为处理左肾肾癌入院,而在进一步的肾血管影像检查中,一个更为凶险的问题浮出水面——左肾癌合并下腔静脉瘤栓(MayoIII级)。一场围绕“生命之河”的战役,悄然打响。

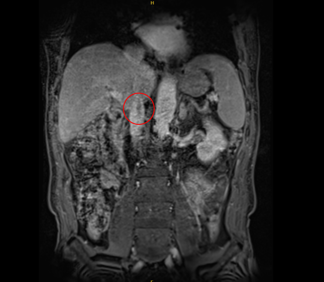
患者磁共振重建影像(红圈内示瘤栓)

Mayo分级示意图
病情如山:当“瘤栓”闯入生命主干道
肾癌合并下腔静脉瘤栓,本就是泌尿外科领域极具挑战的复杂病例,而这位患者的情况尤为困难——瘤栓已越过肝短静脉,进入膈肌水平以上的下腔静脉,属于MayoIII级,手术风险极高,犹如在血管中“拆弹”。一旦瘤栓脱落,随时可能引发急性肺栓塞,导致患者猝死。此外,患者主动脉和肾动脉严重钙化,加之既往的支架植入史,更让手术难度成倍增加。
多学科集结:一场生命保卫战的精密部署
如何防止瘤栓脱落引发肺栓塞?是否需要启动体外循环或ECMO支持?若血管破裂,如何快速进行人工血管替代?术后肝肾功能衰竭又该如何应对?面对如此棘手的病情,泌尿外科孔垂泽教授、姜元军教授牵头,迅速启动多学科诊疗(MDT),联合浑南院区普通外科(肝胆胰)、麻醉科、血管外科/甲状腺外科、心脏外科、重症医学科、手术室护理团队及放射科等多科室专家,共同为患者制定手术方案。经过专家们的充分讨论和反复推演,为最大程度保障手术质量和患者安全,最终确定了“开放性左肾切除+下腔静脉瘤栓取出术”的手术方案。
无影灯下:5小时惊心“拆弹”
手术前一晚,手术团队经与浑南院区手术室金米拉、王晓雪两位护士长提前协调,将手术安排在浑南院区第二手术中心心脏外科手术室进行,为这场高难度手术提供了硬件保障。手术当天,麻醉科王俊教授、唐冰副教授、安阳医生全程护航,精准控制患者生命体征;心脏外科蒋璇副教授提前备好VA-ECMO,随时准备建立体外循环。手术如期开始。首先,由泌尿外科孔垂泽教授、姜元军教授采取腹正中切口,逐层暴露,寻找到左肾动脉,由于病人既往行腹主动脉覆膜支架,团队在操作过程中始终保持轻柔,避免伤及钙化严重的腹主动脉;患者左肾动脉粥样硬化严重,如若出现结扎线脱落,会出现不可逆的大出血,泌尿外科坚决果断结扎左肾动脉,避免了左肾灌注造成的不必要出血;随后充分暴露主动脉、下腔静脉及右侧肾蒂,并逐层分离,向下腔静脉游离。然而,肾静脉瘤栓的侵袭长度给手术增加了巨大难度,肝下的腔静脉阻断无法确保完整切除瘤栓,必须要于膈下进行下腔静脉的完整阻断。此时浑南普外科葛春林教授、李柏峰教授上台,协助充分游离肝脏,充分显露膈下下腔静脉,为取栓创造了清晰视野。

接下来,便是本次手术最惊心动魄的17分钟。如果阻断下腔静脉时间过长,会造成全身回流血液不足,严重的缺血再灌注会造成各器官不可逆的损伤,手术时间每增加1秒,都会增加不良事件的风险。孔垂泽教授屏气凝神开始操作,依次阻断右肾动脉、膈下下腔静脉、肾静脉下方腔静脉。如前所料,病人血压瞬间出现下降,麻醉团队严阵以待,密切监护和稳定患者生命体征。刀片切开下腔静脉的瞬间,大量血管内静脉血液喷发而出,手术视野瞬间模糊,手术团队临危不乱,凭借丰富经验,快速完整取出瘤栓,并迅速进行下腔静脉缝合,以最快速度解除各个阻断,最大限度减少了缺血再灌注损伤。控制住出血后,病人心率血压逐步恢复,手术室众人瞬间长舒一口气。随后,手术团队结扎左肾静脉,完整取出左肾及肿瘤。5个小时,每一秒都关乎生死,每一步都如履薄冰,但手术终获成功。
生命的延续:从ICU到顺利出院
术后,患者转入ICU接受严密监护与综合治疗。在重症医学科的精心照护下,患者顺利脱机,生命体征逐渐平稳,最终康复出院。后续,患者还将接受靶向药物等抗肿瘤治疗,继续与病魔斗争。而这场惊心动魄的救治,也成为了中国医科大学附属第一医院MDT手术模式的又一成功典范。
MDT不只是“一起看病”,更是“为生命而战”
MDT不是简单的科室叠加,而是真正做到以病人为中心,打破学科壁垒,汇聚集体智慧。从术前精准评估、多学科协作制定方案到术中精细操作、术后综合管理,这场高难度手术的成功,是中国医科大学附属第一医院专家不畏疑难危重疾病挑战,发挥综合诊疗实力的体现,是医院高质量发展成果的生动写照。
来源:中国医科大学附属第一医院

*本网站有关内容转载自合法授权网站,如果您认为转载内容侵犯了您的权益,
请您来信来电(024-23187042)声明,本网站将在收到信息核实后24小时内删除相关内容。