近期,中国医科大学附属第一医院胃肠外科/疝外科联合肿瘤内科、泌尿外科、临床营养科、麻醉科、手术室等多学科专家,历经近一年的精准诊疗与紧密协作,成功为一名乙状结肠恶性肿瘤侵袭膀胱的患者完成根治性手术。患者不仅实现肿瘤完整切除,还最大程度保留了膀胱功能,现已康复出院回归正常生活。这场与晚期跨器官侵犯肿瘤的“精准博弈”,充分彰显了中国医科大学附属第一医院多学科协作(MDT)诊疗模式在复杂肿瘤救治中的核心优势与人文温度。
肿瘤侵犯膀胱:尿便混杂的生死困境
时间回溯到2024年初,68岁的王先生(化名)出现持续下腹部隐痛,排便次数也变得异常增多,每日水样便可达十余次。起初他以为是普通肠胃问题未加重视,直到今年2月,王先生的体重在短时间内下降10公斤,同时伴有排便极度费力、尿频尿急,甚至出现尿便混杂、持续低热等症状时,才在家人催促下前往中国医科大学附属第一医院胃肠外科/疝外科门诊就诊。
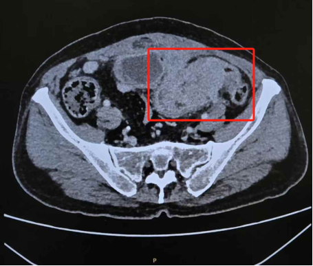
宋禾副教授接诊后为其完善相关检查,增强CT结果提示患者乙状结肠占位性病变侵犯盆壁、膀胱,电子结肠镜病理诊断明确为腺癌。由于肿瘤病期较晚,患者已出现不全肠梗阻以及离子紊乱,同时伴有结肠膀胱瘘,出现尿便混杂,已经引发严重泌尿系统感染,若不及时干预,短时间内即可能出现器官功能衰竭。但棘手的是,鉴于复杂的病变特点和侵袭程度,单科室手术既无法完整切除肿瘤,又难以保障膀胱功能。

CT显示乙状结肠恶性肿瘤侵犯盆壁、膀胱
多学科协作:为手术赢得关键机会
在胃肠外科/疝外科主任周建平教授的指导下,宋禾副教授立即发起多学科会诊,联合泌尿外科、肿瘤内科、放射治疗科、病理科、临床营养科等多学科专家就患者病情展开讨论。泌尿外科陈启光副教授表示肿瘤已侵犯膀胱肌层,但未弥漫性扩散,若能通过前期治疗缩小肿瘤范围,有望保留大部分膀胱功能,避免膀胱全切术对患者生活质量的严重影响。肿瘤内科徐玲教授表示患者基础体力状态及活动能力尚好(ECOG评分1分),具备积极抗肿瘤治疗的基础条件。

经过多学科专家的综合研判,团队最终确定“横结肠造口解除梗阻、缓解结肠膀胱瘘→靶向联合化疗缩瘤→根治性切除肿瘤→还纳造口”的四阶方案。胃肠外科/疝外科分期进行造口术、根治术与造口还纳,肿瘤内科制定化疗方案,手术过程中,泌尿外科同台参与膀胱侵犯病灶的处理。
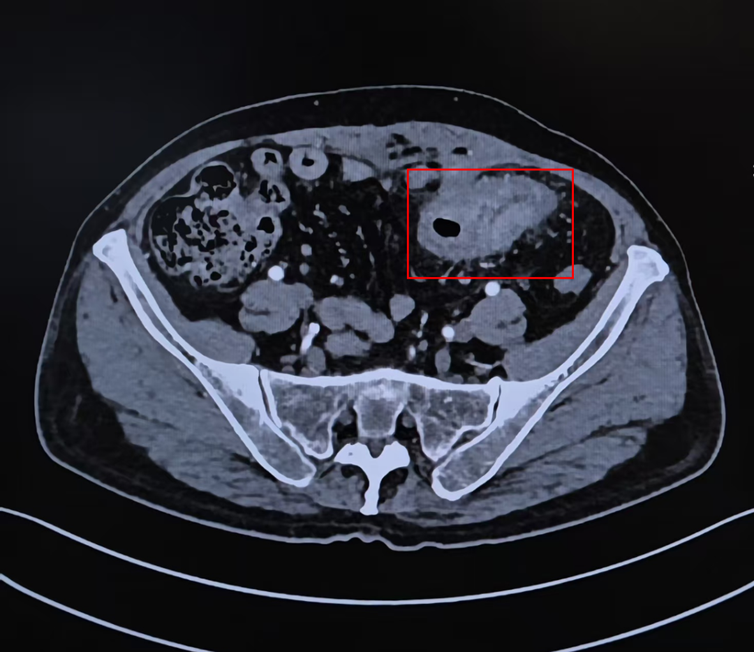
2月21日,宋禾副教授团队顺利为患者完成横结肠双腔造口术,肠梗阻症和结肠膀胱瘘的症状即刻缓解,为后续治疗赢得时间。肿瘤内科徐玲教授团队根据基因检测结果,结合患者肝肾功能、心肺状态,联合麻醉科评估耐受度,最终确定西妥昔单抗联合mFOLFOX的方案。治疗期间,徐玲教授团队密切监测,通过对比肿瘤大小变化调整药物剂量;临床营养科根据患者食欲减退情况定制高蛋白食谱,配合护理团队监测体重变化。3个周期后,患者影像学复查结果提示肿瘤体积明显缩小,膀胱侵犯范围由之前的广泛侵犯到现在的局限侵犯,MDT团队一致判定达到根治手术条件。

CT显示经过新辅助治疗之后,乙状结肠恶性肿瘤体积以及侵犯范围明显缩小
精准手术根治:术后快速回归正常生活
完成全面术前评估并与患者家属充分沟通后,在麻醉科和手术室的大力配合下,根治性手术如期开展。术中发现,患者的乙状结肠肿物大小约6×5×6cm,已侵透肠壁浆膜层,累及腹壁肌肉及膀胱壁。宋禾副教授团队精准游离乙状结肠系膜,细致清扫肠系膜下动脉根部淋巴洁,在距离肿瘤10厘米处严格遵循肿瘤根治原则处理肠管;泌尿外科陈启光副教授同步上台,精细剥离侵犯膀胱的肿瘤组织,完成部分膀胱壁修补,成功避免了膀胱全切的风险。手术顺利完成,病人安返病房。
术后病理结果为腺癌,24枚淋巴结均无转移。肿瘤内科根据结果,针对性调整治疗方案和化疗药物,联合药学部优化药物配比,降低副作用。经过了5周期的术后辅助化疗,增强CT结果显示,患者未见肿瘤复发及转移迹象,各项指标均符合造口还纳手术条件。11月,患者再次接受结肠造口还纳手术,术后恢复顺利,现已回归正常生活。

王先生的成功救治体现了中国医科大学附属第一医院多学科协作的强大优势,为复杂肿瘤患者提供了最优诊疗路径。医疗团队通过长期、系统、规范的诊疗,有效解除了患者病痛,践行了中国医科大学附属第一医院“以病人为中心”的核心理念。
未来,中国医科大学附属第一医院胃肠外科/疝外科将持续深化多学科协作机制,聚焦复杂胃肠肿瘤的精准诊疗与临床研究,不断提升疑难重症救治能力,用精湛的医疗技术和人文关怀,为更多肿瘤患者带来生的希望,守护百姓生命健康。
来源:中国医科大学附属第一医院

*本网站有关内容转载自合法授权网站,如果您认为转载内容侵犯了您的权益,
请您来信来电(024-23187042)声明,本网站将在收到信息核实后24小时内删除相关内容。