在肿瘤治疗领域,精准、高效的诊疗技术是守护患者生命健康的关键防线。中国医科大学附属第一医院放射治疗科紧跟国际医疗前沿,率先引入并成熟应用射波刀立体定向放疗技术,为众多肿瘤患者带来了治愈的希望与重生的可能。
作为目前国际领先的立体定向放射治疗设备,射波刀凭借“高精度、高剂量、短疗程”的核心优势,通过实时影像引导与动态追踪技术,精准锁定肿瘤病灶,将高能量射线聚焦照射,在摧毁肿瘤细胞的同时,最大限度保护周围正常组织,大幅降低治疗副作用。
自该技术投入临床以来,科室已成功救治前列腺癌、肺癌、肝癌、胰腺癌、脑肿瘤等各类患者2200余例,其中既有无法耐受手术的早期患者,也有术后复发需要补救治疗和无法手术切除的病例。射波刀技术的临床应用,实现了杀灭肿瘤、缓解症状、延长生存期的治疗目标。
七旬老人的前列腺癌危机
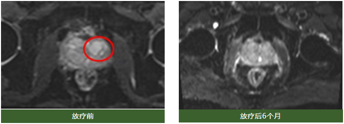
“体检报告出来时,我手里的单子都在抖。”71岁的王大爷回忆起患病的经历,仍心有余悸。一次常规体检中,他的前列腺特异性抗原指标(PSA)高达13.76ng/mL,远超正常范围,这一异常信号立即引起他和家人的警惕。随后,王大爷来到中国医科大学附属第一医院泌尿外科进行进一步诊疗,前列腺MR增强扫描显示,左侧移行带可见1.4cm×1.2cm的异常强化结节,经前列腺穿刺活检,确诊为前列腺腺癌(腺泡型)。
随后王大爷接受了4个月的内分泌治疗,但PSA下降并不明显,复查MR仍可见前列腺内强化结节。老人和家属怀着焦虑的心情,前往中国医科大学附属第一医院放射治疗科寻求诊治,放射治疗科立体定向放疗团队全面评估其病情,为其制定了个性化治疗方案,实施前列腺射波刀立体定向放疗(Dt=6.5Gy/次,共6次)。由于前列腺癌大分割放疗技术难度颇高,团队采用金标和骨骼实时追踪技术,有效降低了膀胱及直肠损伤风险。不仅显著提升了治疗疗效,更将传统需要2个月的放疗疗程压缩至1周内完成,极大减轻了患者的治疗负担。
令人振奋的是,治疗后6个月复查,王大爷的PSA值已降至0.01ng/mL以下,MR扫描显示前列腺内的病灶消失。截至目前,老人未出现生化复发迹象,重新回归了规律的晚年生活。

合并多种基础疾病的胰腺癌放疗
57岁的雷女士在一次常规腹部超声检查中发现胰体尾部占位性病变,进一步行腹部MR增强检查提示胰腺体尾部肿物,大小约为3.7cm×2.6cm。后经穿刺病理结果证实为导管腺癌,好在PET-CT检查排除了胰腺外存在其它转移。但雷女士合并糖尿病、高血压等多种疾病,基础状态差,经临床评估,无法耐受手术治疗。
无奈之下,雷女士先于当地医院接受了6个周期的化疗,然而复查时,胰腺病灶并未出现明显缩小,治疗陷入停滞。抱着最后一丝希望,她来到中国医科大学附属第一医院放射治疗科寻求帮助。立体定向放疗团队根据其病情特点迅速研究放疗方案,考虑胰腺被十二指肠及胃等正常器官包绕,而上述正常器官放射耐受性低,常规放疗时难达到杀灭胰腺癌的放射剂量,可能导致放疗疗效欠佳。而通过射波刀立体定向放疗采用金标+实时呼吸追踪技术,能够显著提高胰腺癌放疗剂量、最大程度减少十二指肠及胃等正常组织损伤,在提高放疗疗效的同时降低毒副反应、缩短疗程。最终,团队采取射波刀立体定向放疗方案(Dt=8Gy/次,共5次)为雷女士进行了有效治疗。
治疗后12个月的复查显示雷女士胰腺内的病灶消失。如今,她的病情始终稳定,无进展生存状态已持续满5年。

肝癌合并消化道出血及肝性脑病
72岁的刘大爷因体检时甲胎蛋白指标(AFP)异常升高而忧心忡忡,进一步的MR及PET-CT检查提示,他的肝脏右后叶下段存在占位性病变,且伴有FDG代谢增高,穿刺病理结果确诊为肝细胞癌。雪上加霜的是,肝硬化导致的消化道出血及肝性脑病,使他的身体状况根本无法承受手术治疗。
在困境中,中国医科大学附属第一医院放射治疗科的立体定向放疗技术成为了“救命稻草”。考虑肝脏随呼吸移动范围大,常规肝癌放疗时会导致正常肝组织受照射过多,射波刀立体定向放疗采用金标+实时呼吸追踪技术,明显减少了正常肝组织放射损伤,大幅度提高肝癌放疗疗效,明显缩短疗程。经射波刀治疗(Dt=10Gy/次,共5次)后,刘大爷的AFP指标回落至正常范围,复查MR显示肝内病灶消失,至今已满4年。

受30年结核病史掣肘的肺鳞癌患者
“咳嗽、咳血,连喘气都觉得费劲”。63岁的马大爷有着三十余年肺结核病史,去年年初,这些不适症状突然加重,当地医院肺CT检查提示右肺占位性病变。为求进一步治疗,他辗转来到中国医科大学附属第一医院,PET-CT检查提示右肺下叶近肺门区占位病变伴SUV值增高,经纤支镜检查见右肺下叶管口新生物,病理诊断为鳞癌。
由于长期肺结核病史,马大爷的肺功能严重受损,临床评估不适合手术,也无法耐受化疗。立体定向放疗团队经过充分讨论,认为对于这类因肺功能欠佳而不适合手术的早期肺癌患者,射波刀立体定向放射治疗可利用呼吸追踪技术,可对早期肺癌进行精准聚焦照射,达到手术治疗疗效。经射波刀立体定向放疗(Dt=8Gy/次,共5次)后,6个月复查CT,马大爷右肺下叶的病灶消失,且未出现放射性肺炎等不良反应,存活至今已满4年。

“如履薄冰”的脑干转移瘤患者
69岁的姜大爷3年前因右肺上叶鳞癌接受过化疗及免疫治疗,本以为病情得到控制,没想到2年后,一场突如其来的“头晕”打破了平静。颅脑MR增强扫描显示右侧桥脑出现占位性病变,被诊断为脑干转移瘤。这一诊断让家属陷入两难的境地——脑干是人体的生命中枢,手术风险极高,如采用化疗,血脑屏障会导致化疗疗效大打折扣。
怀揣着最后的希望,患者来到中国医科大学附属第一医院放射治疗科就诊,立体定向放疗团队针对姜大爷的病情研究方案,鉴于射波刀立体定向放射治疗的精准和高效,能够有效避免常规放射治疗极易并发的放射性脑坏死等问题,已成为脑干肿瘤主要治疗手段之一,经射波刀治疗(Dt=5Gy/次,共5次)6个月后,MR复查显示姜大爷脑干内的转移瘤消失,且未出现放射性脑损伤等并发症,存活至今已满3年。

中国医科大学附属第一医院放射治疗科将以射波刀立体定向放疗技术的成熟应用为起点,持续关注肿瘤诊疗领域的创新成果,积极引进、推广更多前沿放疗技术与理念,坚持以病人为中心,以更精准的诊断、更个性化的治疗、更温暖的医疗服务,助力更多患者重归健康、拥抱美好生活。
来源:中国医科大学附属第一医院

*本网站有关内容转载自合法授权网站,如果您认为转载内容侵犯了您的权益,
请您来信来电(024-23187042)声明,本网站将在收到信息核实后24小时内删除相关内容。