近期,中国医科大学附属第一医院呼吸与危重症医学科牵头,联合急诊科、麻醉科、重症医学科展开紧急救援,成功为一位气道肿物导致大气道梗阻的患者实施全麻下经支气管镜肿物切除术,为患者化解生命威胁。
青年突发窒息,生命告急
一个周六的早晨,在浑南院区值班的呼吸与危重症医学科医生刘亭威接到了急诊科总住院孟艳玲医生的紧急电话:一位红区留观的青年男患呼吸困难突然加重,目前只能靠高流量鼻导管吸氧维持。刘亭威闻讯立刻赶到急诊科查看患者,只见患者表情痛苦,呼吸急促,听诊左肺呼吸音弱,主气道及右肺可闻及响亮吸气相干鸣。患者自诉气短已有5天时间,近2日明显加重,今晨来诊。
寻根溯源,锁定梗阻“元凶”
在呼吸科医生赶到前,急诊科接诊医生已为患者紧急完善了初步的化验检查并及时给予对症处理,刘亭威查看CT检查结果,提示患者主气管及左主支气管内可见条状实性病变,管腔严重狭窄,左肺周围见炎性病变。这些改变正是导致患者急性呼吸困难的原因。
患者此前曾就诊于当地医院,行电子支气管镜检查提示“左主支气管隆起型病变,堵塞管腔,表面充血发红触之易出血,镜身难以通过。”当地医院难以处理,建议转诊到中国医科大学附属第一医院。

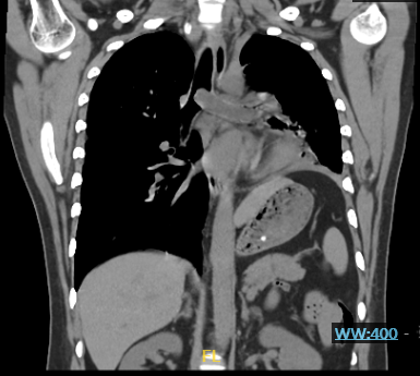
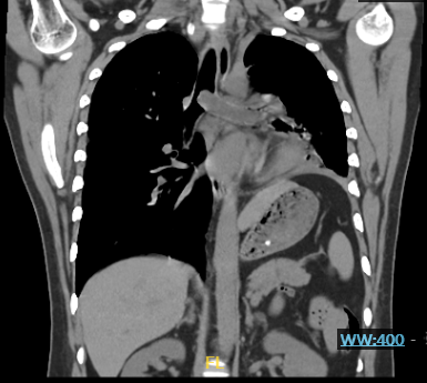
CT可见肿物阻塞左主支气管(红框所示),并延伸至隆头上主气管处,阻塞部分右主支气管开口

迅速集结启动多学科MDT
临床经验丰富的刘亭威立刻意识到情况的复杂,患者目前存在大气道肿物,I型呼吸衰竭,阻塞性肺炎,病情极其危重,随时可危及患者生命,需要尽快解除致命的梗阻。他立刻向科主任王玮教授及科室浑南院区负责人王赞峰教授汇报患者病情,王玮教授对患者病情高度重视,立即开始部署治疗准备工作,在急诊科主任崇巍教授的协调下,呼吸与危重症医学科、重症医学科及麻醉科相关负责人员进行紧急多学科讨论,共同制定手术方案。鉴于患者主气道堵塞严重,已无法平卧,麻醉期间很可能诱发主气道完全闭塞,这意味着患者麻醉过程即有可能因为失去气道通气功能而死亡,手术挑战巨大,很可能需要体外膜肺氧合(ECMO)的术中保驾,以有效降低上述风险。
经多学科充分评估决定,尝试行全麻支气管镜下支气管肿物切除术,ECMO术中随时准备。经向患者家属充分交代手术相关风险,患者家属知情同意后,治疗团队开始迅速进行术前准备工作。
密切合作,手术圆满成功
时逢周末,但呼吸介入团队、重症医学科ECMO团队以及麻醉团队都放弃休息,火速就位。在完善术前交代和准备后,团队立刻护送患者进入了呼吸介入手术室,这时各科负责医生均已在术间等待,一场生命与时间的赛跑,就此拉开序幕。
如前所料,第一个挑战就是麻醉。经麻醉医师精准操作,全麻气管插管后患者生命体征平稳,接麻醉机辅助通气,刘亭威操作软质气管镜顺利进入。镜下可见左主支气管新生物横跨气管隆突,向右主支气管生长,阻塞气管下段约70-80%,气管镜镜身小心通过,左主气道几乎被新生物完全堵塞。立刻使用电圈套器套切新生物,然而套切近根部时出血较多,患者血氧也一度降至70%。麻醉医生处乱不惊,立刻配合调整呼吸机参数,手术现场所有人都屏住了呼吸,眼神紧紧盯着连接气管镜的屏幕,术者刘亭威的额头也渗出了细密的汗珠,双臂和肩膀虽因长时间保持同一姿势而感到持续的酸痛,但持镜的双手却异常平稳,他立刻经鼻置入止血球囊,于左主支气管开口处压迫止血,同时经气管镜滴注稀释肾上腺素及血凝酶进行止血治疗,每一个动作都精准无误,有条不紊。出血很快止住,患者的血氧也恢复到了正常,生命体征恢复平稳。
刘亭威立即再经电圈套器套切,新生物基本切除,可见新生物残端位于左下叶基底段开口,以氩气刀喷灼残端,吸除左主支气管内溢出的大量分泌物,手术历时近1小时顺利结束,患者大气道梗阻得到充分缓解。



术后患者主气管及左主支气管阻塞完全开通,组织瓶内为切除的大量肿物组织
在患者被推出手术室的那一刻,患者的母亲和姐姐不约而同地跪在了医生们面前:谢谢你们,谢谢你们,辛苦了!医生立刻扶起家属,疲惫的脸上眼神异常坚定:手术非常顺利,患者的平安是我们最大的期待。
一场集合了团队智慧的紧急救治,不仅彰显了中国医科大学附属第一医院多学科协作的强大实力,更用医者仁心与精湛医术,诠释了“生命至上”的使命担当。中国医科大学附属第一医院呼吸与危重症医学科呼吸介入的医护人员,将继续坚持用精湛的技术、无私的奉献、坚定的信念,为患者的生命保驾护航。愿每一次屏息凝神,都能重启生命的律动;愿每一颗悬着的心,终能安稳落地。
来源:中国医科大学附属第一医院

*本网站有关内容转载自合法授权网站,如果您认为转载内容侵犯了您的权益,
请您来信来电(024-23187042)声明,本网站将在收到信息核实后24小时内删除相关内容。