近日,中国医科大学附属第一医院眼科张含教授团队突破常规治疗瓶颈,通过玻璃体视网膜手术联合激光诱导脉络膜视网膜静脉吻合术,为一名饱受难治性黄斑水肿困扰的患者打通眼底循环通路,为此类疑难黄斑水肿患者的治疗提供了新路径,再次彰显了中国医科大学附属第一医院眼科在疑难眼底疾病领域的过硬实力。
两年求医路漫漫疑难眼底病陷入治疗困境
66岁的孙阿姨(化名)两年前无明显诱因出现左眼视力下降,起初只是视物模糊,因此并未在意,直至症状持续加重,视物困难严重影响正常生活,她才前往当地医院就诊。经检查确诊为“左眼视网膜中央静脉阻塞,黄斑水肿”。
孙阿姨罹患的视网膜中央静脉阻塞属于临床疑难眼底病,眼底静脉如同“淤塞的河道”,血液回流受阻、血管异常渗漏,直接损伤黄斑区核心视觉功能,治疗难度大,病情极易反复。此后两年间,孙阿姨先后接受多次玻璃体腔注药治疗,病情仍未好转,左眼视力持续下降,并发黄斑前膜与白内障,多重眼部病变叠加使常规的治疗手段陷入瓶颈。在多方求治未果后,孙阿姨在家人的陪伴下,慕名来到中国医科大学附属第一医院眼科求治。

术前眼底照相(左图)因白内障遮挡,眼底观察不清,OCT检查提示(右图)黄斑水肿和黄斑前膜
精准破局激光“架桥”疏通眼底循环
中国医科大学附属第一医院眼科张含教授接诊后,为孙阿姨完善眼底检查,细致评估复杂病情,针对其视网膜静脉阻塞、黄斑水肿、黄斑前膜、白内障多重病症,制定了个体化联合手术方案:左眼白内障超声乳化吸除+玻璃体切割+视网膜前膜/内界膜剥除+激光诱导脉络膜视网膜静脉吻合+人工晶体植入+玻璃体腔注药,一台手术同步解决多项眼底难题,实现“一站式”精准治疗。
视网膜中央静脉阻塞后,常规治疗多是针对渗漏进行封堵,只能暂时缓解症状,无法从根源疏通循环。此次手术的核心在于突破传统治疗思路,应用激光打破视网膜与脉络膜之间的组织间隔,并打破视网膜静脉壁,造成高压视网膜静脉和低压脉络膜血管之间的吻合血管形成,搭建“血液循环旁路”,实现血流的有效分流与重建。
张含教授团队术中精准定位视盘鼻侧、颞侧二级视网膜静脉,实施5点高能量激光光凝,打破视网膜与脉络膜之间的生理屏障,依托脉络膜自身丰富的血管网,为瘀滞的视网膜静脉搭建全新的“泄洪通道”,让眼底血液重新顺畅循环,实现从“治标堵渗漏”到“治本通循环”的核心转变。

这项激光诱导脉络膜-视网膜静脉吻合技术,在2000年由中国医科大学附属第一医院著名眼科专家刘哲丽教授率先在国内开展。此次张含教授团队将其与玻璃体视网膜手术联合开展,术中可近距离精准开展血管击射,大幅提升吻合成功率,有效规避眼底出血等风险,完成了经典技术的现代化升级与创新融合,传承了老一辈眼科专家的临床智慧,同时实现了技术上的新突破。
康复迅速血管再灌注重现光明
术后复查结果令医疗团队倍感振奋,黄斑水肿显著改善,光学相干断层扫描血管成像(OCTA)检查清晰显示:视盘鼻侧激光诱导点处,成功形成视网膜-脉络膜间吻合血管,视网膜后极部血管密度明显增加,术前无灌注的视网膜区域重现血流,网膜血供状态得到根本性改善。
更令孙阿姨欣喜的是,术后随访期间,黄斑水肿控制时长大幅延长,视力稳定性显著提升。这意味着,她不再需要频繁接受眼内注射,生活质量得到极大改善。

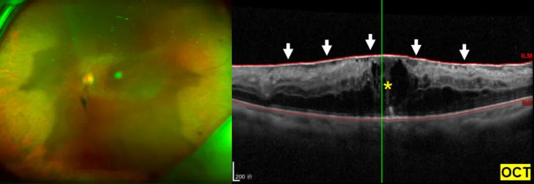
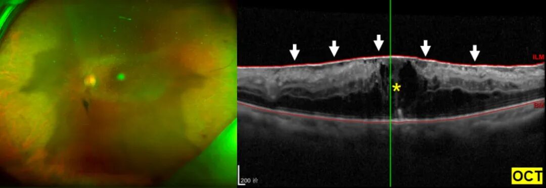
术后眼底照相(左图)清晰显示眼底,OCT检查(右图)可见黄斑前膜清除,黄斑水肿基本消退

术前(A)与术后(B)OCTA检查提示视网膜循环状态明显改善,表现为视网膜血管密度明显增加(圆环中),红色箭头处提示视网膜静脉下沉入脉络膜,提示成功诱导的脉络膜-视网膜静脉吻合。
技术革新从个案成功到治疗范式探索
此次疑难眼底疾病患者的成功救治,见证了中国医科大学附属第一医院眼科在视网膜静脉阻塞治疗领域的又一革新。对于常规治疗无效的、继发于视网膜静脉阻塞的难治性黄斑水肿,该项创新联合技术有望改写临床治疗格局。
未来,科室将进一步加强探索,完善优化手术方案,将老一辈眼科专家的创新思维与临床经验传承发扬,用更精准、高效的技术,守护广大患者的视力健康,为更多眼底病患者打通光明之路。
来源:中国医科大学附属第一医院

*本网站有关内容转载自合法授权网站,如果您认为转载内容侵犯了您的权益,
请您来信来电(024-23187042)声明,本网站将在收到信息核实后24小时内删除相关内容。