近日,中国医科大学附属第一医院胸外科牵头的多学科诊疗团队(MDT)成功完成一例高难度“气管肿瘤切除+气管袖式吻合术”,挽救了一位濒临气道梗阻的危重患者。在气管切除长度达手术极限的挑战下,实现了肿瘤根治与气道完美重建,彰显了中国医科大学附属第一医院胸外科的技术精进和使命担当,更凸显了多学科协作模式在攻坚复杂胸外科手术中的重要作用。
4cm气管肿瘤,切除难度达安全极限
60岁的李女士(化名)因持续剧烈咳嗽于外院就诊,胸部增强CT提示气管内占位,经气管镜活检病理确诊为“腺样囊性癌”。肿瘤长径约4cm,若要完成根治性手术,需连同近端、远端安全切缘一并切除,总长度至少达5cm,已接近成人气管总长(10-11cm)的一半。
由于气管组织不可再生,且目前尚无成熟人工气管可替代,国内外公认气管切除安全极限为总长的1/2或不超过5cm,超出此范围则因吻合口张力过大无法完成端端吻合,被视为手术“禁区”。同时,患者肿瘤位于胸段气管右侧壁,深藏于主动脉弓、头臂干、左颈总动脉、左锁骨下动脉、上腔静脉及无名静脉后方,毗邻结构错综复杂,每一步分离都需如履薄冰。
这一结果对于李女士一家来说无疑是晴天霹雳。辗转省内外多家医院,均因手术风险极高、难度极大而未获明确手术方案。抱着最后一线希望,李女士一家慕名来到中国医科大学附属第一医院胸外科就诊。

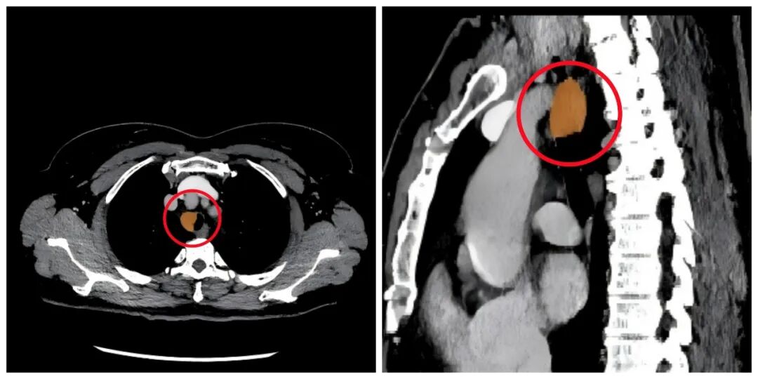
患者术前CT影像,圈内示肿物

肿瘤位于胸段气管,造成气管明显狭窄
多学科诊疗,量身定制手术方案
患者病情复杂危重,在胸外科许顺主任的主持下,李文雅副主任迅速联合耳鼻咽喉科、麻醉科、重症医学科、甲状腺外科、心脏外科相关专家启动多学科会诊(MDT),共同评估。专家讨论认为,肿瘤位于主气道,已造成气道严重狭窄,手术迫在眉睫;超声支气管镜(EBUS)探查显示肿瘤与毗邻的大血管界限尚清,尚具有完整切除可能,但肿瘤切除后,气管能否顺利吻合,成为了决定治疗成败的关键。
面对这一难点,治疗团队经充分讨论,形成系统性应对方案:胸外科通过松解心包、肺门,使气道的活动度增加2cm左右,降低吻合口张力;耳鼻咽喉科通过喉松解增加气管游离度,进一步为吻合创造条件;麻醉科前半程喉罩通气,后半程肿瘤远端插管通气,兼顾无瘤和保障氧合原则;重症医学科保障患者平稳度过围手术期高危阶段,为术后康复创造条件;甲状腺外科、心脏外科团队随时准备台上会诊。
毫厘必争,9小时多学科共克难关
切除范围决定手术成败。面对4cm的肿瘤,切少一分,恐有肿瘤细胞残存;切多一毫,吻合难度显著增高。毫厘之间的反复权衡,5cm也许是这生死攸关的平衡点。同时,还需最大限度减轻患者损伤。
经过充分的术前准备,手术如期进行。手术全程历时近9小时,是一场多学科协同作战的极限挑战。治疗团队分三步攻克难关:
第一步,微创松解,为吻合“松绑减压”。李文雅教授团队采用胸腔镜入路,精细完成双侧下肺韧带松解、心包开窗及肺门、纵隔胸膜充分游离,为后续气管吻合提前降低张力。
第二步,正中开胸,直面“核心战区”。胸外科李文雅教授、李玉教授、刘相利副教授、张松副教授团队默契配合,经胸骨正中切口入胸,游离、裸化无名静脉、头臂干、左颈总动脉等重要血管,将肿瘤与毗邻结构彻底分离。术野可见肿瘤已侵透气管壁,造成气管腔明显狭窄。随后,耳鼻咽喉科王琰主任行喉松解术,在保护神经功能的前提下,最大限度游离上段气管,为吻合争取宝贵长度。
第三步,极限切除,吻合重建。在麻醉科主任谭文斐教授,麻醉科吴兆琦医生纤支镜精准定位下,李文雅教授与王琰教授联手实施肿瘤根治性切除。术中快速冰冻病理回报:上下切缘均未见癌细胞。实现理想根治效果。
但顺利切除只是阶段性胜利,气管的吻合才是手术成败的关键和难点。麻醉团队全程维持生命体征平稳,李文雅教授团队精准完成气管端端袖式吻合,成功重建通畅气道。手术顺利完成,患者生命体征平稳,转入重症医学科接受后续监护康复。

图示气管肿物切除袖式吻合
历经波折,医患同心顺利康复
术后患者转入重症医学科监护治疗,马晓春主任带领团队制定综合治疗方案,涵盖呼吸支持、液体管理与心功能稳定、感染防控及深静脉血栓抗凝预防等。经精心治疗后,患者成功脱机,后续护理团队开展床头抬高、关节活动、咳痰训练、心理疏导及营养支持等个体化康复锻炼,促进功能恢复。
在多学科团队的同心守护下,患者顺利恢复自主呼吸,气道吻合口愈合良好,逐步恢复正常进食与活动,最终顺利康复出院。

该患者的成功救治,不仅彰显了中国医科大学附属第一医院胸外科的技术实力,更凸显了多学科协作在攻克复杂危重疾病中的核心优势。中国医科大学附属第一医院将继续秉持“以病人为中心”的理念,以精湛医术为更多疑难重症患者点亮生命希望。
来源:中国医科大学附属第一医院

*本网站有关内容转载自合法授权网站,如果您认为转载内容侵犯了您的权益,
请您来信来电(024-23187042)声明,本网站将在收到信息核实后24小时内删除相关内容。