近日,中国医科大学附属第一医院神经外科、眼科牵头,在麻醉科、手术室等科室的密切配合下,成功完成一例经眉弓外侧入路的颅眶沟通肿瘤切除术。该手术实现了复杂颅底手术的微创化,是中国医科大学附属第一医院“外科微创化”理念的又一生动实践,也再次彰显了多学科协作在疾病诊治中的重要价值。
棘手病情:突眼背后的“跨界”肿瘤
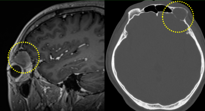
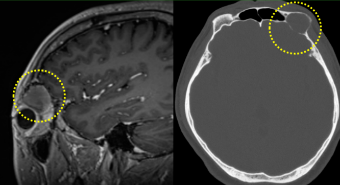
患者江先生(化名)两个月前发现左眼逐渐外凸,容貌变化让他心生不安,随即前往中国医科大学附属第一医院眼科孙一洲副教授门诊就诊。孙一洲详细查体并结合核磁共振检查后,确诊患者左眼眶内存在占位性病变,具备明确手术指征。影像显示,病变已破坏颅底骨质并累及硬脑膜,肿瘤已从眼眶“跨界”侵入颅内。这种特殊的生长位置,给手术带来极大挑战,若处理不当,术后极易出现脑脊液漏、颅内感染等严重并发症。

患者术前影像,黄线内示肿物
将心比心:为“忙碌”与“爱美”寻找出路
江先生日常工作繁忙,最大的心愿是快速康复、术后不留明显痕迹。孙一洲立足患者实际需求,立即联系中国医科大学附属第一医院神经外科颅底专业组陶钧教授,希望通过综合多学科意见,为这位年轻患者制定更优治疗方案。
“患者年轻、工作节奏快,我们必须把手术创伤降到最低。”两位专家达成高度共识。
陶钧教授与神经外科主任欧绍武教授会诊深入讨论后认为:神经外科虽可独立完成肿瘤切除,且手术显微镜能最大程度降低并发症风险,但常规经眶手术入路需移除眶壁,易造成容貌改变、眶壁修补困难,与患者“看不出来做过手术”的实际诉求存在差距。联合眼科开展MDT手术,方能实现疗效与美观的双重最大化。
显微镜下:两科联合发挥技术优势
如何在彻底切除肿瘤的同时,兼顾患者容貌恢复与快速康复需求?陶钧教授与孙一洲副教授反复研读影像资料,结合病变三维重建图像,从不同角度反复比较眼科手术入路及神经外科手术入路的优缺点,最终一致认为采用眼科入路联合神经外科应用显微镜的方案创伤小且安全,从而最终敲定创新手术方案:由眼科经眉弓外侧入路,在不移除眶壁的前提下从眶内暴露肿瘤,该路径切口沿眉毛弧度设计,隐蔽且美观、不损伤眶壁、创伤小;再由神经外科借助显微镜进行肿瘤精准切除,凭借成熟的颅底显微操作技术,在显微镜下高倍放大肿瘤,在1mm级的缝隙内锐性分离肿瘤与硬脑膜及眶周筋膜的界面,从而将并发症风险降至最低。

患者三维重建图像,绿色示肿物
术前准备充分完善后,手术顺利开展。孙一洲副教授率先采用眉弓微创美容切口,游离眶缘及眶周组织,术中可见肿瘤已部分破坏眶壁并侵及眶表面,手术显露空间狭窄,直接切除难度极大。若移除眶壁虽能便于切除肿瘤,但眶壁复位固定困难,可能增加损伤风险。团队随即在显微镜下使用精细磨钻,沿眶缘谨慎磨除2-3毫米骨质,既避免了眶壁切除后的修复难题,又充分扩大手术视野,为肿瘤全切奠定基础。
肿瘤充分暴露后,陶钧教授在显微镜下先对肿瘤分块减压,缩小体积后减轻对眼球的压迫,进一步优化操作空间。术中发现肿瘤与硬脑膜、眶内组织粘连紧密,两位术者在显微镜下紧密配合,在不切除眶壁的情况下,精准分辨硬脑膜(肿瘤上界)及眶周筋膜(肿瘤下界)等周边重要结构,沿肿瘤包膜完整切除病灶,同时妥善保护硬脑膜与眶内关键组织。狭小术区里,两科专家默契协作、精细操作,整场手术仅耗时90分钟便圆满完成。
温情守护:以病人为中心的最美答卷
术后患者无需术区引流,当日即可下床活动,术后第3天顺利出院。术后一周拆线复查时,眉弓外侧的微小切口已愈合良好,几乎无手术痕迹;此前外凸的左眼恢复对称,眼球活动正常,未出现任何并发症。“完全看不出来做过手术!”江先生反复感慨,脸上终于露出久违的笑容,诊室里的氛围也格外温暖。

患者术后复查,双眼外观对称
协作之光:用微创技术守护美好生活
此次微创手术的成功,是跨学科协作的又一次有效探索。对于此类复杂眶内颅底病变,既发挥眼科微创切口优势,又能发挥神经外科显微手术优势,两科室联合、优势互补,为治疗此类疾病提供更优选择。
未来,中国医科大学附属第一医院神经外科与眼科将继续坚守“以病人为中心”的服务理念,持续探索协同诊疗路径,为患者提供更微创、更精准的手术治疗方案,让更多患者在治愈疾病的同时,守护对生活的美好期许。
来源:中国医科大学附属第一医院

*本网站有关内容转载自合法授权网站,如果您认为转载内容侵犯了您的权益,
请您来信来电(024-23187042)声明,本网站将在收到信息核实后24小时内删除相关内容。